腎臟及後腹腔腫瘤消融 Image-Guided Tumor Ablation for renal & retroperitonal tumor
電腦斷層掃描導引之腎臟與後腹腔腫瘤冷凍治療
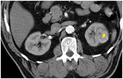
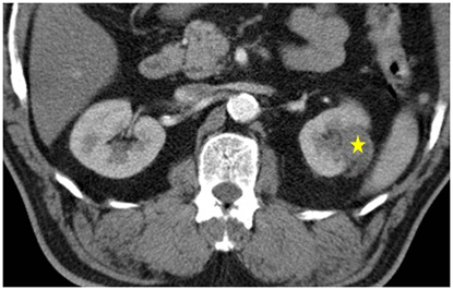
在電腦斷層導引下,將冷凍探針經過皮膚插到腫瘤組織中。冷凍探針在針尖可形成一圓型的超低溫範圍,當溫度低於-20℃即可造成細胞壞死,達到治療目的。因冰塊在電腦斷層下清晰可見,因此可確認治療範圍完全涵蓋腫瘤,且未傷害正常組織。冷凍治療具有包括侵入性極小,無痛,可保留腎功能等好處,於2006年通過衛生署認證,已證實為一安全有效的腎臟腫瘤治療方法。
1.腎臟的原發性或轉移性腫瘤者。
2.不適合手術或不願意接受手術者。
3.沒有嚴重的血液或凝血障礙者。
1.血液常規及凝血功能檢查。
2.填寫治療同意書。
3.給予靜脈輸液。
4.病人需禁食六小時以上。
5.推大床,請家屬陪同病人一起至檢查室門口等候。
1.病患以斜側臥或側臥的姿勢,躺在檢查台上。麻醉科醫師進行麻醉。
2.以電腦斷層掃描確認治療位置。
3.消毒要治療部位的皮膚。
4.在電腦斷層的導引下將冷凍探針插進腫瘤。
5.開始冷凍治療,共約30分鐘。
6.治療結束後移除探針。確認無出血後即可回病房休息。
1.部分傷口會有疼痛、滲血,這是正常的現象,若疼痛加劇,請告知病房醫師或護士加以處理。
2.病人應平躺至少4小時。
3.可以喝水或進食,若不宜進食,當另行通知。
4.覆蓋在傷口的紗布,24小時後即可拿掉。
5.若無不適,術後隔天即可出院。
傷口之疼痛或是輕微發燒為常見的輕微併發症。較嚴重的併發症為出血。建議術後2小時密集監測生命徵象,並留院觀察24小時。
治療後三個月,以電腦斷層追蹤為主,有時會用超音波或磁振造影的方式追蹤。若有殘存或復發的腫瘤則可重複接受此方法治療。
原則上腫瘤小於4公分,此治療可達到完全根除的效果。若腫瘤太大,可以此治療部份消除,也可於施行多於一次的治療以達根除效果。
本院自2010年至今已針對腎臟腫瘤施行冷凍治療,至今病例已超過百例。其餘後腹腔腫瘤的治療也有數十例的經驗。對於單腎,腎功能不良,或是多顆腎臟腫瘤的病患,可以有效治療腫瘤又達到保留腎功能的效果,對病患的生活品質有很大助益。




臺北榮總隔週(每月單數週)週二上午在影像診療門診(5207診 沈書慧醫師)設有「冷凍治療」特別門診,提供腎臟與其他後腹腔腫瘤治療相關諮詢,病患可以提供影像檢查光碟方便醫師評估。
若有腫瘤冷凍治療相關問題,可來電02-28712121轉27180,或將簡單病史E-mail : cryovgh@gmail.com,評估後會與您聯絡
最後更新: 2025/02/06 14:17:52